診療に役立つ興味ある心エコー症例です
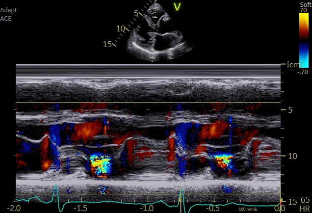
右左短絡による脳塞栓症をきたした症例
マイクロバブルテストを行ったところバブルが右房に到達後3心拍以内に心房中隔を通して左房内にバブルが流入し、6心拍程度で左下肺静脈からバブルが左房に流入している。マイクロバブルテストでPFOとAVMが同時に検出できた貴重な症例
3DCT画像では左肺A10末梢に動静脈奇形を認める
肺動静脈瘻に対してコイルによる動静脈瘻閉鎖術施行。施行後も心エコーバブルテストで心房中隔を通過して右房から左房へバブルの流入を認めるが、左下肺静脈からのバブル流入は認めない
17年前に重症僧帽弁逆流症に対して生体弁置換術を行った症例。最近、労作時息切れを認めている。胸部聴診ではⅠ音亢進とⅡ音から遅れて始まる低調な拡張期雑音(拡張期ランブル)を聴取した。明らかな僧帽弁開放音は聴取しない。軽度の収縮期逆流性雑音も聴取する。(再生はイヤホンかヘッドホンを使用してください)
心エコーでは僧帽弁開放制限と中等度僧帽弁逆流を認める
安静時の拡張期の僧帽弁平均圧格差は8.8mmHgで定義では中等度僧帽弁狭窄症となる

しかし労作時息切れが進行しているためエルゴメーター負荷心エコーを行った
運動中の拡張期僧帽弁平均圧格差は24mmHgと著明に上昇し、収縮期肺動脈圧65mmHgと肺高血圧を認めたため再弁置換手術となった。術後は労作時息切れが消失した。

90歳代女性、突然の左上肢麻痺で来院され脳外科紹介、多血管領域の脳梗塞を認めた。心電図は洞調律で心房細動の既往なし。塞栓源不明脳梗塞(ESUS)と考え当院でバブルテストを行った。バブルが右心系に到達後10心拍程度で左心系にバブルが出現し肺動静脈瘻による脳塞栓症と診断した。
突然の背部痛で来院した50歳代女性。血圧に左右差なく、心電図や胸部写真で異常を認めなかった。心エコーを行い弓部大動脈遠位から腹部大動脈にかけて解離を認めた。
胸骨上窩から弓部大動脈を観察すると弓部大動脈遠位と下行大動脈移行部から始まる解離のため偽腔による圧迫で狭くなった真腔を流れる血流が表示される
傍胸骨長軸断面で左房の背側に下行大動脈の短軸像がみえる。内腔が解離し狭くなった真腔を血液が流れている。
失神で脳神経外科受診するも異常なく当院受診。心電図で異常を認めなかったがホルター心電図で高度房室ブロックを認めた。

心エコーにて明らかな壁運動異常を認めないが心室中隔基部の壁肥厚と軽度の収縮低下を疑いストレイン解析を行ったところ、同部位にストレイン低下を認め心サルコイドーシスを疑った。

病院紹介しFDG-PETにて心室中隔基部と下壁に集積を認め、他の臓器には集積を認めなかった。心臓MRIにて心基部~中部の心室中隔・下壁に遅延造影を認めた。これらより心臓限局性サルコイドーシスの初期と診断した。


2025年4月日本心エコー図学会発表スライド(正岡佳子による発表)
Barlow症候群は僧帽弁尖のBillowingによる左室乳頭筋の牽引で乳頭筋を含む周囲左室心筋の障害(線維化と考えられる)をきたし、不整脈(心室期外収縮)を惹起する。期外収縮のタイミングにより障害心筋から心室頻拍や心室細動などの重篤な不整脈をきたすことがあり注意が必要。
心音や心雑音の再生時には必ずヘッドホンかイヤホンを使用してください。
Barlow症候群、心尖部で聴診器膜型での記録。収縮中期クリックに続いてMRの収縮期逆流性雑音が聴こえる(click and murmur)
僧帽弁は両弁尖ともbillowingを認める(3D心エコー)
収縮期後半に中等度の僧帽弁逆流を認める、このため、逆流により発生する雑音は収縮期後半となる。収縮期に僧帽弁が左房に逸脱して停止するタイミングでクリック音が発生する
Color M modeにて逆流時相を確認すると逆流は収縮期後半に認める

胸痛をきたし独歩来院した症例。聴診で心基部を中心に往復雑音を聴取した。収縮期雑音は重症ARで生じた相対的ASによる雑音。ARの拡張期雑音はⅡ音から始まる漸減性の潅水様とよばれる高調な雑音であるが、この症例は重症逆流のため拡張期雑音の減衰が急峻で雑音は荒々しく聴こえる。 聴診はこちらをクリック
心エコーでは大動脈基部に解離による内膜フラップを認め大動脈弁右冠尖は拡張期に左室に逸脱している
10年前から息切れと浮腫を認め次第に悪化
頸静脈圧は上昇し、1心拍に2回の素早い下向き拍動がみられる。この頸静脈拍動は収縮性心膜炎に特徴的な所見。吸気時に静脈圧が上昇するKussmaul徴候もみられる(正常では吸気時に頸静脈圧は低下する)。
頸静脈拍動を記録すると視診で認めた素早い下向き拍動、x谷とy谷がみられる。特に拡張期のy谷は深く急峻でFriedreich徴候とよばれ収縮性心膜炎の特徴的所見。同時に記録した心音ではy谷のタイミングで心膜ノック音が聴こえる。
心エコー(心尖部4腔断面)での観察では吸気時に心室中隔が左室側に移動し右室内腔の増大とともに左室内腔は縮小するseptal bounceがみられる。堅い心膜に覆われた狭い内腔を両心室が取り合うventricular interdependenceという現象で 収縮性心膜炎の特徴的な血行動態を反映した所見である。
傍胸骨よりのM-modeでは拡張早期に心室中隔が素早く動くearly diastolic dipがみられ、拡張期の右室圧と左室圧の関係を反映した現象である。

心臓カテーテル検査で右室圧を記録すると拡張期圧は収縮性心膜炎に特徴的なdip&plateauを認める。右室圧波形に頸静脈波形を重ね合わせると拡張期の波形が一致しており頚静脈拍動が拡張期の右室圧変化を忠実に反映していることがわかる。
CT画像で心膜石灰化を認める
僧帽弁後尖(P2)腱索断裂による重症僧帽弁逆流の症例
心尖部聴診(低音領域、聴診器膜型に相当)
僧帽弁逆流による収縮期雑音は1音から始まり2音を超えて持続する汎収縮期雑音となり2音が聴こえにくくなる。重症逆流では拡張早期の3音やランブルを聴取することがある。これらを聴取する場合は逆流が重症と判断できる。本症例も拡張早期に3音を聴取する。
収縮期雑音が逆流性雑音か駆出性雑音であるかの鑑別方法に不整脈時の雑音の強度変化をみる方法がある。僧帽弁逆流のような逆流性雑音では期外収縮の後、拡張期が延長した次の収縮で雑音は増強しない(駆出性雑音では雑音が増強する)
僧帽弁逆流の雑音は心尖部が最強点で雑音は腋下 方向へ放散すると教科書などに記載があるが、後尖逸脱では逆流ジェットは左房上方に向かうために大動脈基部方向に雑音が放散する。そのため後尖逸脱によるMRでは大動脈弁狭窄症と誤認することがあり注意が必要。本症例の第2肋間胸骨右縁(大動脈弁領域)で記録した雑音。
心エコーでは後尖の腱索断裂により僧帽弁後尖が収縮期に左房内に逸脱し逆流ジェットが左房上方に向かっている
